What increases your risk of developing takotsubo cardiomyopathy?
18th July 2016
Researchers in Holland have concluded that people who develop takotsubo cardiomyopathy may have had higher levels of psychological distress, including illness-related anxiety.
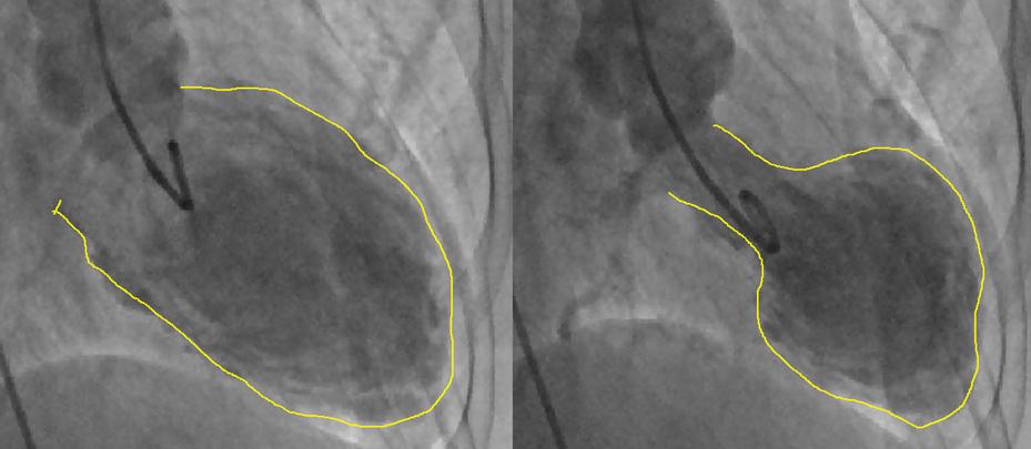
Takotsubo cardiomyopathy (TTC) is thought to be largely a transient condition caused by emotional triggers such as bereavement, a serious accident or other very stressful events. It can lead to heart failure and symptoms that mimic a heart attack. Often those affected will make a full recovery, though some have lasting problems. Takotsubo means octopus pot in Japanese, and the shape of the heart is said to look like such a pot.

The heart develops an octopus pot look (right)
The researchers, led by Dr L Smeijers from Tilburg University, said that little was known about the psychological background to developing the condition. So they wanted to find out more.
In the small study, the team looked at whether people with the condition had higher levels of depressive symptoms, perceived stress, general and illness-related anxiety and distinct personality traits compared with healthy people and people with heart failure. A total of 56 people took part in the study.
People from all the groups completed questionnaires, those with TTC around two years after they developed the condition.
The results showed that people with TCC had higher levels of depressive symptoms and illness-related anxiety compared to those who were healthy. But they did not display significantly increased levels of perceived stress or general anxiety. They also showed lower levels of openness.
No differences between TCC and heart failure patients were found regarding the psychological measures.
The research team concluded that TCC was associated with higher levels of depressive symptoms, more illness-related anxiety and less openness compared with the healthy group.
The study was published in this month’s Netherlands Heart Journal.



